Casos Invisalign

CASOS RESUELTOS

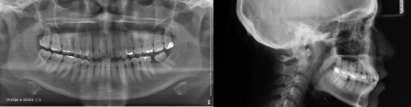
Paciente Carmina P.R, tratada con ortodoncia Invisible Invisalign®.

Acompañamos a nuestra paciente Carmina P.R a la visita de finalización de su tratamiento de Ortodoncia Invisible Invisalign®.

Imagen de la sonrisa de la paciente Carmina P.R. antes y después del tratamiento de ortodoncia invisible Invisalign®

Clinica Mariana Sacoto Navia expertos en invisalign
Clinica Mariana Sacoto Navia Expertos en Invisalign
Clinica Mariana sacoto Navia Expertos en ortodoncia invisalign Barcelona
Paciente Ana D.S. caso ortodoncia de Clase III con desviación mandibular. Tratada con Ortodoncia Invisalign®.
La clase III se caracteriza por la posición adelantada de la arcada inferior con respecto a la superior. En este caso también existe una desviación de la mandíbula.
Paciente Miriam T.S. caso ortodoncia clase III. Tratada con Ortodoncia Invisible Invisalign®.
Las maloclusiones de clase III se caracterizan por una posición más adelantada de la arcada inferior con respecto a la superior.
Imágenes de la paciente antes de iniciar el tratamiento con ortodoncia Invisalign®.
Caso paciente Miriam T.S. (sigue en tratamiento)
Imágenes de la paciente, todavía en tratamiento, de Ortodoncia Invisalign®
Clínica Mariana Sacoto Navia Ortodoncia Invisible Barcelona Expertos en Invisalign
Paciente Marta G.L. caso ortodoncia apiñamiento y dientes desalineados. Tratada con Ortodoncia Invisible Invisalign®.
Imágenes de la paciente antes de iniciar el tratamiento con ortodoncia Invisalign®.
Clinica Mariana Sacoto Navia Ortodoncia Invisible Barcelona Expertos en Invisalign
Caso en fase final paciente Marta G.L.
Imágenes de la paciente en la fase final del tratamiento de Ortodoncia Invisalign ®

Caso de nuestra paciente Dalia R. tratada con Ortodoncia Invisible Invisalign ®, imágenes del antes y después de su tratamiento.

clinica mariana sacoto navia expertos invisalign barcelona

Caso de paciente que presenta una Clase III modida cruzada anterior, arcada estrecha y apiñamiento.

Clinica Mariana sacoto Navia expertos Ortodoncia Invisalign Barcelona

Paciente anterior clase III mordida cruzada, imágenes de su boca después de 10 meses de tratamiento, esta en la fase final.

Uso de cookies

Este sitio web utiliza cookies para que usted tenga la mejor experiencia de usuario. Si continúa navegando está dando su consentimiento para la aceptación de las mencionadas cookies y la aceptación de nuestra política de cookies, pinche el enlace para mayor información.

ACEPTAR
Aviso de cookies
Abrir chat
Hola, pensando en mejorar tu sonrisa?
Hola, pensando en mejorar tu sonrisa 😃? Necesitas más información sobre ortodoncia invisalign? Cuéntanos que necesitas 😉
¡No dudes en escribirnos!